TOOTH AGENESIS

TOOTH AGENESIS

Хиподонтията е ортодонтско нарушение свързано с промяна броя на зъбите,, което това дава отражение на оклузалните съотношения, нарушава дъвкателната функция и често влошава естетиката.

Details

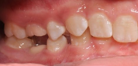
Problems in the treatment of ankylosing deciduous molars

Problems in the treatment of ankylosing deciduous molars

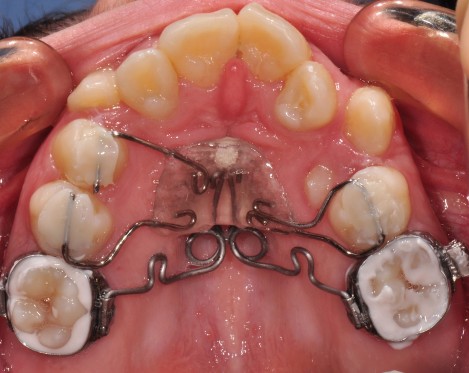
Анкилозата на зъб се определя като анатомично сливане на алвеоларна кост с цимента на зъбния корен.Този феномен може да се появи по време на пробив на зъба или след това.

Details

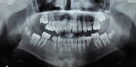
Arrested-eruption-of-first-permanent-molar

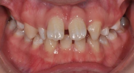
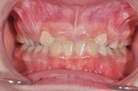
Arrested eruption of first permanent molar – frequency, clinical problems and analysis

Пробива на зъбите е естествен процес, при който формираният зъбен зародиш се доразвива и придвижва към своята позиция в челюстта до функционалното му положение в устната кухина и влизане в контакт с неговия антагонист.

Details

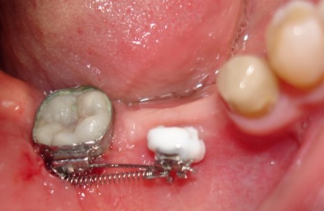
Ролята на мини имплантите при усложнени ортодонтски лечения

С навлизане на микроимплантите в ортодонтията, клиниката се разви в насока ползване резистентноста на костта спрямо по-големи сили прилагани при тежки случаи. Получените големи сили се ползват на къси разстояния, което дава възможност за контрол на посоката и големината й. Различната форма на главичката на винта позволява към него да се включват различни допълнителни приспособления, които улесняват клиничната работа и дават възможност за сегментни лечения.

Details

Приложение на микро импланти в ортодонтията при ортодонтски млади и възрастни пациенти – сегментни решения

През последните няколко години в световен мащаб се разви ново направление за ползването на коста като опора при ортодонтски движения на зъби, чрез включването й посредством микроимпланти.

Details

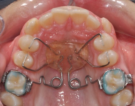
Предимства на методите на лечение с интраоралния фиксиран апарат M-Pendulum

За да се достигне до решение за избор на екстракционно или безекстракционно оротодонтско лечение е необходимо да се съобразим с недостига на място в зъбната дъга и продължителността на лечението. За това си поставихме за цел да съпоставим тези параметри.

Details

Превръщане на дистално неограничен дефект в ограничен чрез ортодонтско преместване на полуретиниран долен трети молар

Подвижното протезиране по-често е неприемливо решение за пациентите. Имплантологията е контраиндицирана при недостатъчна ширина и височина на алвеоларния гребен, които са честа характеристика на обеззъбения участък.

Details

Ортодонтско–хирургичнен подход и лечение при комплициран случай на ретиниран горен канин

Статията обсъжда клиничните аспекти на проблема – ретинирани канини. Тази ортодонтска деформация е сравнително често срещана и изисква сериозна диагностика и комплексно лечение от ортодонт и хирург. Целта на ортодонтското лечение е да въведе канина в зъбната дъга, като за целта предварително му е осигурено място с консервативни ортодонтски методи.

Details

Ортодонтско лечение при множествена хиподонтия. Клиничен случай.

Статията обсъжда клиничните аспекти на проблема – множествена хиподонтия. Решението и планът на лечение при тези пациенти включват дългосрочни цели и съобразяване с костното развитие на пациента както до завършване на растежа му, така и при неговото остаряване. Често лечението на тези клинични случай завършват с протетичното им възстановяване. Затова ортодонтското лечение трябва да е съобразено с крайното дефинитивно възстановяване на съзабието.

Details

Клинични аспекти при прилагане на апарата Pendulum в смесено съзъбие

В тази статия си поставяме за цел да разискваме от клинична гледна точка позитивите и негативите при ползване на апарата Pendulum в смесено съзъбие. Ще разгледаме становищата за работа с апарата в случаите, когато са включени временните молари като опорна зона. Ще дадем какви са според нас клиничните предпоставки и индикации за използването на Pendulum в смесено съзъбие.

Details