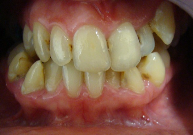
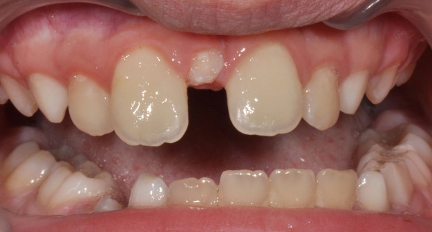
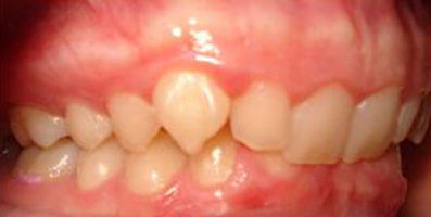
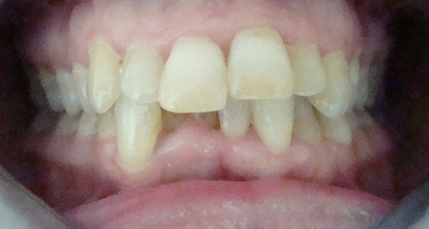
Какво печелим и има ли компромиси при лечения с дистализиране на горни молари с апаратите Pendulum и Frog
Статията представя клиничните аспекти и методологията на приложение на два съвременни апарата за дистализиране на горни молари. Лечебният план, който най-често включва дистализиране на горни молари е при пациенти с клас II малоклузии.










