Interdisciplinary Treatment of Patients with Deep Overbite and Parafunctional Activity
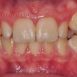
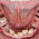
Bruxism is defined as parafunctional grinding of teeth and due to the excessive wear of the posterior teeth, patients with long-standing bruxism often have pathological deep overbite. For many decades, treatment of bruxism and deep overbite was focused on reshaping the bite for achieving an occlusion free of deviations. Despite large efforts, the management of bruxism and subsequent deepening overbite was not obtained.
Изтеглете пълната версия на публикацията:
Interdisciplinary Treatment of Patients with Deep Overbite and Parafunctional Activity





