TOOTH AGENESIS

TOOTH AGENESIS

Хиподонтията е ортодонтско нарушение свързано с промяна броя на зъбите,, което това дава отражение на оклузалните съотношения, нарушава дъвкателната функция и често влошава естетиката.

Arrested-eruption-of-first-permanent-molar

Arrested eruption of first permanent molar – frequency, clinical problems and analysis

Пробива на зъбите е естествен процес, при който формираният зъбен зародиш се доразвива и придвижва към своята позиция в челюстта до функционалното му положение в устната кухина и влизане в контакт с неговия антагонист.

Ролята на мини имплантите при усложнени ортодонтски лечения

С навлизане на микроимплантите в ортодонтията, клиниката се разви в насока ползване резистентноста на костта спрямо по-големи сили прилагани при тежки случаи. Получените големи сили се ползват на къси разстояния, което дава възможност за контрол на посоката и големината й. Различната форма на главичката на винта позволява към него да се включват различни допълнителни приспособления, които улесняват клиничната работа и дават възможност за сегментни лечения.

Приложение на микро импланти в ортодонтията при ортодонтски млади и възрастни пациенти – сегментни решения

През последните няколко години в световен мащаб се разви ново направление за ползването на коста като опора при ортодонтски движения на зъби, чрез включването й посредством микроимпланти.

Предимства на методите на лечение с интраоралния фиксиран апарат M-Pendulum

За да се достигне до решение за избор на екстракционно или безекстракционно оротодонтско лечение е необходимо да се съобразим с недостига на място в зъбната дъга и продължителността на лечението. За това си поставихме за цел да съпоставим тези параметри.

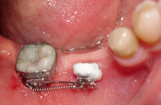
Превръщане на дистално неограничен дефект в ограничен чрез ортодонтско преместване на полуретиниран долен трети молар

Подвижното протезиране по-често е неприемливо решение за пациентите. Имплантологията е контраиндицирана при недостатъчна ширина и височина на алвеоларния гребен, които са честа характеристика на обеззъбения участък.

Ортодонтско–хирургичнен подход и лечение при комплициран случай на ретиниран горен канин

Статията обсъжда клиничните аспекти на проблема – ретинирани канини. Тази ортодонтска деформация е сравнително често срещана и изисква сериозна диагностика и комплексно лечение от ортодонт и хирург. Целта на ортодонтското лечение е да въведе канина в зъбната дъга, като за целта предварително му е осигурено място с консервативни ортодонтски методи.

Ортодонтско лечение при множествена хиподонтия. Клиничен случай.

Статията обсъжда клиничните аспекти на проблема – множествена хиподонтия. Решението и планът на лечение при тези пациенти включват дългосрочни цели и съобразяване с костното развитие на пациента както до завършване на растежа му, така и при неговото остаряване. Често лечението на тези клинични случай завършват с протетичното им възстановяване. Затова ортодонтското лечение трябва да е съобразено с крайното дефинитивно възстановяване на съзабието.

Клинични аспекти при прилагане на апарата Pendulum в смесено съзъбие

В тази статия си поставяме за цел да разискваме от клинична гледна точка позитивите и негативите при ползване на апарата Pendulum в смесено съзъбие. Ще разгледаме становищата за работа с апарата в случаите, когато са включени временните молари като опорна зона. Ще дадем какви са според нас клиничните предпоставки и индикации за използването на Pendulum в смесено съзъбие.