ВЪЗРАСТОВИТЕ ПРОМЕНИ КАТО ФАКТОР ЗА РАЗВИТИЕТО НА ПАТОЛОГИЧНИ ПРОЦЕСИ В УСТНАТА КУХИНА
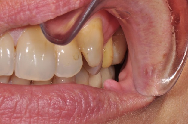
Статията разисква промените, които настъпват с остаряването на твърдите и меките тъкани и връзката между тях. Особенно внимание обръщаме на зъбната абразия като нормален ефект на остаряването и като патологичен процес по отношение на ефекта, който оказва върху околната лигавица.
