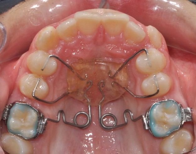
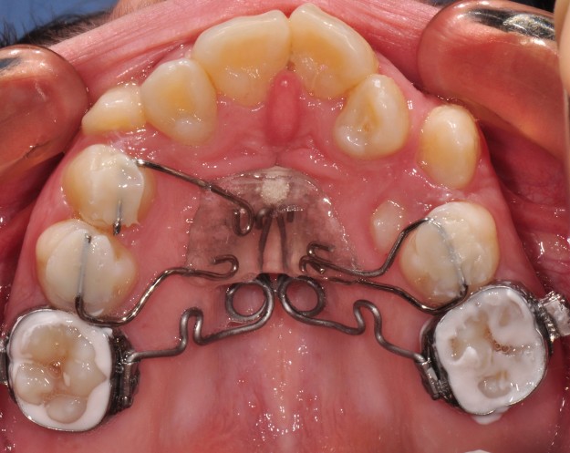
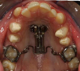
PENDULUM APPLIANCE – PROBLEMS AND POSSIBILITIES IN ITS APPLICATION AT DIFFERENT AGE PERIODS
Статията обсъжда съществували разлика при дистализиране на горни молари, ако пациентите са в различен растежен етап или завършили растежа си, т.е. растящи, млади възрастни и възрастни.



